长春哪里的医院治疗牛皮癣?头部是牛皮癣比较喜爱的患病部位,随着现在社会头部养护产品的增多,五花八门的产品让很多人眼花缭乱,但是有些皮肤或者说头部敏感的人群由于头部产品选购不当而引发了头部牛皮癣,这样的悲剧屡见不鲜,那么头部牛皮癣的症状表现有哪些呢?我们一起跟随医生来了解一下长春牛皮癣的特色治疗的相关信息吧!

自觉不同程度痒感,多数为轻微的痒感,但也有少部分病人,不痒或瘙痒难忍。牛皮癣病程漫长,反复发作,常迁延许多年。复发多在冬春天气较冷的季节,夏秋常缓解,病久后季节性渐渐不明显。
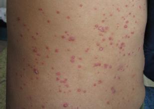
长春哪里的医院治疗牛皮癣?牛皮癣在发病初期会在患者的皮肤患处出现针尖到扁豆大小的炎性扁平丘疹,以后会逐渐增大到钱币大小或更大的浸润斑,这些斑块边界清楚,多为淡红色,表面会覆盖有多层银白色的鳞屑,刮除鳞屑会出现一层淡红色发亮的半透明薄膜,刮除薄膜会出现点状出血。
虽然牛皮癣不能彻底根治,但牛皮癣并不可怕,只要经过正规合理的治疗,掌握一些牛皮癣常识,患者的身体机能恢复到相应的程度,病情有希望减轻或保持几年不复发,这样的患者也是很多的,切忌不要盲目乱投医,滥用药滥治疗带来的影响才是深远的,其副作用是远远大于牛皮癣本身的。到现在为止,大家对于长春牛皮癣的特色治疗有没有多一点了解呢?
长春哪里的医院治疗牛皮癣?蛋白质及其他营养物质丢失:由于牛皮癣大量拖屑,构成皮肤的蛋白质,维生素及叶酸等物质随之丢失,若皮损迁延多年不愈且泛发全身,会导致低蛋白血症或营养不良性贫血,临床表现为乏:力,倦怠,面色苍白,易于感冒等症状,如果由于不正确的“忌口”而营养摄入不足,更会使上述症状加重。
我们的医院医生为了广大患者能够了解更多的长春牛皮癣的特色治疗信息,开启了网上咨询通道,患者可以在线咨询我们的医生了解更多信息。





