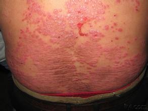
¡¡¡¡³¤´º×îÔçµÄţƤѢҽԺ£¿ÈËµÄÆ¤·ô¿ÉÒÔ˵ÊÇÉíÌåµ±ÖбȽϴàÈõµÄ£¬ÓÉÓÚÎÒÃÇµÄÆ¤·ôÖ±½Ó½Ó´¥µ½¿ÕÆø£¬ËùÒÔ¶ÔÓÚÄÇЩƤ·ôÃô¸ÐµÄÈ˺ÜÈÝÒ×»áÊܵ½Íâ½çµÄÇÖÊ´£¬´Ó¶øÒý·¢¸÷ÖÖ¸÷ÑùµÄƤ·ô²¡¡£ÔÚÉú»îµ±ÖУ¬×î³£¼ûµÄÖ¢×´¾ÍÊÇÆ¤·ôðþÑ÷£¬Ö×Í´£¬·¢ºìµÈ£¬Èç¹û²»±£»¤ºÃµÄ»°£¬»¹»á¶ÔƤ·ôÔì³ÉÉî¶ÈË𺦡£Å£Æ¤Ñ¢ÊÇÔÚÈËȺÖг£¼ûµÄƤ·ô¼²²¡£¬¶øÇÒÈç¹ûţƤѢµÄ³õÆÚÖÎÁƲ»³¹µ×£¬»¼Õß×ÔÉí±£Ñø²»ºÃµÄ»°£¬ºÜÓпÉÄÜ»áʹ²¡Ç鸴·¢£¬ÕâÑùÔÚÖÎÁÆÆðÀ´»á¸ü¼ÓÀ§ÄÑ¡£Å£Æ¤Ñ¢»¼ÕßÔÚÆ¤·ôÉϵÄÎÊÌâ±íÏֵıȽÏÃ÷ÏÔ£¬ÔÚÁÙ´²ÉÏÒ»°ã±íÏÖΪÒÔÏÂÖ¢×´£ºÎÒÃÇÒ»Æð¸úËæÒ½ÉúÀ´Á˽âһϳ¤´ºÅ£Æ¤Ñ¢µÄÌØÉ«ÖÎÁƵÄÏà¹ØÐÅÏ¢°É£¡

¡¡¡¡Å£Æ¤Ñ¢»¼Õ߼̷¢ºìƤ²¡Õß³ÆºìÆ¤²¡ÐÍÒøÐ¼²¡ ţƤѢ;ƤÕîÓÐÉÙÁ¿ÉøÒº£¬¸½ÓÐʪÐÔÁÛм¡£µÃÁËţƤѢһ°ãÖ¢×´ÊÇʲô?»ò³õÆðΪСŧð壬°éÓз¢ÈȵÈÖ¢×´Õß³ÆÎªÅ§ðåÐÍÒøÐ¼²¡;ºÏ²¢¹Ø½Ú²¡±äÕß³ÆÎª¹Ø½ÚÐÍÒøÐ¼²¡¡£
¡¡¡¡³¤´º×îÔçµÄţƤѢҽԺ£¿Å£Æ¤Ñ¢»¼Õß³ýÁËÒªÕÆÎÕÒ»°ãµÄÏ´Ô¡³£Ê¶Í⣬»¹Ó¦×¢Òâˮβ»Ò˹ýÈÈ£¬Ò»°ãÒÔÌåÎÂÉÏÏÂΪÒË¡£ÒòΪ¹ýÈÈ¿ÉʹƤËðµÄѪ¹ÜÀ©ÕÅ¡¢Ñ×Ö¢¼Ó¾ç¡¢ðþÑ÷Ã÷ÏÔ£¬´Ó¶øµ¼ÖÂÆ¤Ëð¶ñ»¯¡£¶ÔÓÚ½øÐÐÆÚµÄÆ¤Ëð£¬Ë®Î»¹Ó¦ÔÙ½µµÍһЩ¡£Í¬Ñù£¬ÏñÉ£ÄÃÔ¡¡¢ÕôÆøÔ¡Ò»°ãζȶ¼½Ï¸ß£¬ÊDz»ÊÊÒËţƤѢ»¼Õߵġ£
¡¡¡¡Å£Æ¤Ñ¢µÄ³õÆÚÖ¢×´±íÏÖΪ²»¶Ô³ÆÐԹؽÚÑ×£¬ÒÔÀÛ¼°ÊÖָĩ½Ú¹Ø½ÚΪÖ÷£¬Ò²¿É·¢ÉúÔÚ½ü¶ËÖ¸¼ä¹Ø½Ú£¬ÕÆÖ¸¹Ø½Ú£¬×ãºÍËÄÖ«´ó¹Ø½ÚÏ¥¡¢¼ç¡¢ÖâµÈ¡£ÊÖÖ¸¡¢×ãÖº¹Ø½Ú¿ÉºìÖ×£¬ÓÐʱÏñÀ°³¦Ñù¡£Ò²Óв¡È˱íÏÖΪ¶Ô³ÆÐԹؽÚÑ×£¬ÓëÀà·çʪÐԹؽÚÑ×ÏàËÆ¡£HLA—B7ÑôÐÔÕߣ¬Ò×·¢Éú÷¾÷Ĺؽڲ¡±ä£¬Ó°Ïìµ½¼¹ÖùµÄ²¡ÈËÒÔÄÐÐÔ¶à¼û£¬Ò»°ãÖ¢×´½ÏÇá¡£µ½ÏÖÔÚΪֹ£¬´ó¼Ò¶ÔÓÚ³¤´ºÅ£Æ¤Ñ¢µÄÌØÉ«ÖÎÁÆÓÐûÓжàÒ»µãÁ˽âÄØ£¿
¡¡¡¡³¤´º×îÔçµÄţƤѢҽԺ£¿ÖÚËùÖÜ֪ţƤѢÊÇÈÕ³£Éú»îÖзdz£ÆÕ±éµÄÒ»ÖÖÂýÐÔÆ¤·ô²¡£¬ºÜ¶àÈ˶Դ˲¢²»ÊǺÜÖØÊÓ£¬Ò»µ©·¢²¡ºÜ¶àÈ˾ͲÉÓÃÒ©Îï¿ØÖÆµÄ·½·¨ÔÝʱ»º½â²¡Ö¢£¬¿ÉÊÇÄã¶ÔţƤѢµÄΣº¦ÊÇ·ñÁ˽âÄØ?ÏàÐźܶàÈËÖªÖ®ÉõÉÙ£¬Ò»ÆðÀ´Ñ§Ï°ÏÂÎİÉ!
¡¡¡¡ÎÒÃǵÄÒ½ÔºÒ½ÉúΪÁ˹ã´ó»¼ÕßÄܹ»Á˽â¸ü¶àµÄ³¤´ºÅ£Æ¤Ñ¢µÄÌØÉ«ÖÎÁÆÐÅÏ¢£¬¿ªÆôÁËÍøÉÏ×ÉѯͨµÀ£¬»¼Õß¿ÉÒÔÔÚÏß×ÉѯÎÒÃǵÄÒ½ÉúÁ˽â¸ü¶àÐÅÏ¢¡£





