长春牛皮癣在哪里能治疗?牛皮癣是很多人都不愿意患上的一种疾病,不仅这种疾病对患者的皮肤造成很大的伤害,关键是患上牛皮癣之后会严重影响患者的形象,部分牛皮癣患者甚至出现了心理问题。因此,对于牛皮癣要做到早发现早治疗。下面就来了解一下牛皮癣疾病的早期症状表现。我们一起跟随医生来了解一下长春牛皮癣的特色治疗的相关信息吧!

牛皮癣是生活中常见的一种疾病,尤其是在现在的社会中,牛皮癣的患者非常非常多,在很多的时候,我们都容易把牛皮癣和其他皮肤病混淆,因此,我们及时了解牛皮癣的症状是必要的,那么,牛皮癣的症状是什么?
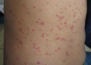
长春牛皮癣在哪里能治疗?牛皮癣有哪些症状?牛皮癣发展过程中,皮损形态可表现为多种形式。急性期皮损多呈点滴状 ,鲜红色,瘙痒胶着。静止期皮损常为斑块状或地图状等。消退朔皮损常呈环状、半环状。少数 皮疹上 的鳞屑较厚,有时堆积如壳蛎状。
丘疹,早期牛皮癣的症状为淡红色丘疹,丘疹初为针头大小,以后逐渐发展到绿豆大小,丘疹逐渐融合成斑片或斑丘疹,表面覆盖有多层干燥的银色鳞屑,轻轻刮去鳞屑后可以见到半透明淡红色薄膜,称为薄膜现象,在刮去薄膜后可见小出血点。多数患者皮疹冬重夏轻,自觉瘙痒或无症状。皮损呈点滴状、钱币状、花瓣状、地图状等。到现在为止,大家对于长春牛皮癣的特色治疗有没有多一点了解呢?
长春牛皮癣在哪里能治疗?现在,牛皮癣的发病率越来越高了,也就是说越来越多的人患有这个疾病,而且在发现的时候病情已经比较严重了。如果想要让自己在早期就有所察觉,那就要对其症状有一个详细的了解才行。下面,小编就为大家介绍一下。
我们的医院医生为了广大患者能够了解更多的长春牛皮癣的特色治疗信息,开启了网上咨询通道,患者可以在线咨询我们的医生了解更多信息。





