咨询者性别:男
咨询者年龄:32
咨询问题:长春治疗牛皮癣效果好的医院
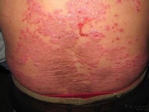
长春治疗牛皮癣效果好的医院? 目前社会上患有牛皮癣的人占很大多数,但是治疗彻底的几乎没有几个,能达到治疗牛皮癣的目的,但是时间久了还会继续发作,不能做到彻底除根。这些原因就是因为牛皮癣是一种基因型的疾病,医学很难再基因上面考到治病根源,所以牛皮癣在我们生活中一直没有被消除。一些患者在治疗牛皮癣的时候一旦停止用药,身体就会出现牛皮癣的症状,很令人烦心。下面就有小编来为大家介绍一下长春牛皮癣专科医院的相关信息吧!

牛皮癣患者要确诊以后才能治疗,千万不能不确诊就去治疗,这样是容易误诊的,也不可以听信一些偏方或者特效药。只要大家到一些正规、专业性比较强的医疗单位就诊的话,一般是可以准确诊断出牛皮癣的。
长春治疗牛皮癣效果好的医院? 保持床单清洁、干燥:牛皮癣患者应及时更换床单,并保持干燥,床单宜清洁,定时更换,并随时清理脱落的皮屑,对于结痂厚硬,妨碍皮肤伸缩,尤其是关节活动部位,应涂膏、霜剂或其他角质松解剂,操作时动作宜轻柔,避免强起出血和疼痛。
牛皮癣是一种非传染性慢性皮肤病,目前一些研究资料证实,这种疾病的发生与心理压力和精神创伤有一定关系,因此在治疗上也必须采取药物与心理相结合的方法,才能收到良好效果。要做出正确诊断,分析并去除致病的精神因素,使患者思想由沉闷变为开朗,对生活树立信心,走出烦恼、焦虑的阴影。要对病人进行健康教育,让病人认识到牛皮癣并非不治之症,也没有传染性,大可不必忧心忡忡。到现在为止, 大家对于长春牛皮癣专科医院有没有多一点了解呢 ?
长春治疗牛皮癣效果好的医院? 综上所述,只要大家在治疗牛皮癣时,遵循上述介绍的原则,再加上遵医治疗,相信牛皮癣疾病是能够治疗好的。还有小编也警醒患者切莫为了贪小便宜,或者为了方便就选择了一些小诊所进行治疗疾病。因为小诊所设施不全,专家不专,经常会导致疾病复发的,还会花费更多冤枉钱!
我们要以一个乐观的态度去面 对这些的问题。如果您还想了解更多关于长春牛皮癣专科医院的内容,可以在线咨询我们的医生了解更多信息。





