长春牛皮癣治疗哪家医院最好?日常生活中牛皮癣可谓是既常见又难治的顽疾,如果患上这个病会给患者的身心都带来极为严重的伤害,因此牛皮癣专家还是建议患者能先了解这个病的初发症状,然后才能尽快的到正规的大医院进行治疗,下面则是相关的常识介绍:我们一起跟随医生来了解一下长春牛皮癣治疗专科医院的相关信息吧!

牛皮癣患者继发红皮病者称红皮病型银屑病 牛皮癣;皮疹有少量渗液,附有湿性鳞屑。或初起为小脓疱,伴有发热等症状者称为脓疱型银屑病;合并关节病变者称为关节型银屑病。
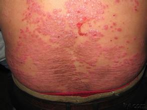
长春牛皮癣治疗哪家医院最好?牛皮癣初发时为针头至扁豆大的炎性扁平丘疹,逐渐增大为钱币或更大淡红色 浸润斑,境界清楚,上覆多层银白色鳞屑。轻轻刮除表面鳞屑,则露出一层淡红色发亮的半透明薄膜 , 称薄膜现象。刮除薄膜后,则出现小出血点,称点状出血现象。
牛皮癣患者较常见的引发过敏反应得药物有:解热镇痛类,如阿斯匹林非那西丁等;异种血清制剂及疫苗等,如破伤风抗毒素蛇毒免疫血清,狂犬病疫苗等;抗生素类,青霉素链霉素氨苄青霉素氯霉素土霉素等,镇静药与抗癫痫药。皮疹一般伴随较为严重的瘙痒。除固定性红斑和荨麻疹样药物过敏外,其他各类药物过敏均为对称和全身分布,皮疹发红色泽鲜艳。有时可有粘膜损害。轻的停药后皮疹逐渐消退,病情严重者有生命危险。到现在为止,大家对于长春牛皮癣治疗专科医院有没有多一点了解呢?
长春牛皮癣治疗哪家医院最好?牛皮鲜一直危害着人们的健康,每年都会有很多人因为这种病而困惑不已,为此而感到心里难受,牛皮鲜其实也有各种各样的类型,也并不是十分单一的。那么牛皮鲜到底有多少种类型呢,就请小编来为您介绍一下吧。
我们的医院医生为了广大患者能够了解更多的长春牛皮癣治疗专科医院信息,开启了网上咨询通道,患者可以在线咨询我们的医生了解更多信息。





