长春牛皮癣最好的治疗医院?牛皮癣使皮肤疾病中的一大顽疾,此病不容易治愈,而且容易反复发作,给许多患者造成极大的心理负担。因此,我们要充分了解牛皮癣的症状,做到早发现早治疗,争取减少牛皮癣带来心理上和身体上的伤害。下面一起来看一下牛皮癣的早期症状。我们一起跟随医生来了解一下长春牛皮癣的特色治疗的相关信息吧!

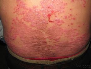
对于牛皮癣患而言,尤其是得了红皮型牛皮癣患者,常常会有渗液,附有湿性鳞屑,或初起为小脓疱,伴有发热等症状者,称为脓疱型银屑病;合并关节病变者,称为关节型银屑病;
长春牛皮癣最好的治疗医院?医生介绍:牛皮癣是一种顽固性皮肤疾病,容易复发难根治。导致牛皮癣的病因有很多,所以,我们很有必要了解牛皮癣发作前期有哪些症状,越早发现对治疗牛皮癣就越有利。下面我们为您详细介绍下牛皮癣在前期可能会出现哪些症状。
现在越来越多的皮肤问题困扰着人们,牛皮癣、、疱疹、酒渣鼻、脓疱疮、化脓菌感染、疥疮、疤痕等等。其中,牛皮癣是最为常见的一种慢性复发性炎症性皮肤病,其诱发的原因有很多。有可能是受潮着凉、预防感染,当然还会有很多精神方面的原因。那么,牛皮癣会有哪些症状呢?到现在为止,大家对于长春牛皮癣的特色治疗有没有多一点了解呢?
长春牛皮癣最好的治疗医院?友情提示:以上就是关于“牛皮癣会有哪些症状出现呢”的相关介绍,希望对您会有所帮助,在生活中我们一定要提高警惕,做好预防疾病的措施,如果一旦有出现以上的那些症状,一定要及时的到正规的医院进行检查治疗,以免耽误治疗的最佳时间,导致病情加重。
我们的医院医生为了广大患者能够了解更多的长春牛皮癣的特色治疗信息,开启了网上咨询通道,患者可以在线咨询我们的医生了解更多信息。





