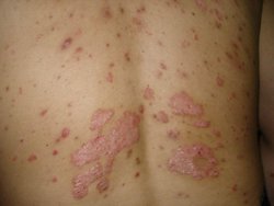
患者如何治疗牛皮癣?牛皮癣是一种很危险的皮肤疾病,如果患者护理不当,或者不加以治疗的话,就很容易引起身体上一系列的并发症,导致严重的后果。因此,在发病之后,首先就要进行科学而专业的治疗,帮助患者恢复健康,重新获得正常的生活。那么,患者如何治疗牛皮癣呢?下面就是就是长春博润银屑病治疗医院的专家的介绍。

牛皮癣患者必须先有决心克服疾病,相信科学,自己保持良好的情绪,选择科学的治疗牛皮癣的方法,我们必须依靠专家,精湛的医术,但最重要的是治疗牛皮癣的信心和决心。
在治疗过程中牛皮癣患者不应该害怕花钱,应到正规医院治疗牛皮癣,然后对症下药,以便更好,更快的治疗牛皮癣。牛皮癣病因。
患者如何治疗牛皮癣?在治疗期间,牛皮癣患者更多地了解有关疾病的知识,并了解了一些较有经验的专家的观点,善于总结好的经验,这也是最有效的方法治疗牛皮癣。
牛皮癣患者不坚持服药治疗,只是半途而废,这样是不对的。在牛皮癣患者的治疗期间必须听医生的劝告,坚持服药,直到病灶已消失后,加强巩固,避免牛皮癣复发。
患者如何治疗牛皮癣?看完上面专家的介绍以后,相信您的心中一定有了一定的了解,希望能够为大家带来帮助。牛皮癣的治疗过程是比较缓慢的,患者不能着急,应该以乐观的心态接受治疗,尽量做到科学的护理辅助工作,长春银屑病医院的专家称,这样才是能够帮助患者重获健康的方式。





